Blog

Birt-Hogg-Dubé Syndroom - Wat U Moet Weten Over Deze Huidziekte

Syndrom Birt-Hogg-Dubé – co je to – příznaky, příčiny a léčba 4.78/5 (9)

Na pokožce hlavy, obličeje, krku, hrudníku a zad se postupně vyvíjejí nebolestivé, malé papulární kožní léze.

Birt-Hogg-Dubé syndrom je vzácná komplexní genetická kožní porucha (genodermatóza) charakterizovaná vývojem kožních papulí obecně lokalizovaných na hlavě, obličeji a horní části trupu. Tyto benigní (nerakovinné) nádory (hamartomy) vlasového folikulu se nazývají fibrofolikulomy.

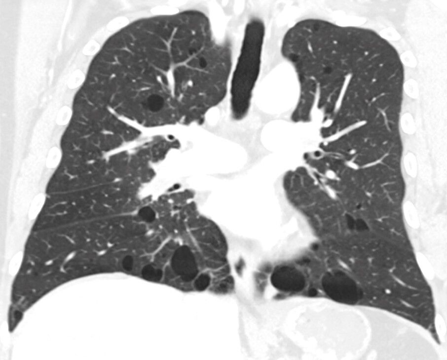
Birt-Hogg-Dubé syndrom také predisponuje jedince k rozvoji benigních cyst v plicích, opakovaným epizodám kolapsu plic (pneumotorax) a zvýšenému riziku rozvoje neoplazie ledvin. Birt-Hogg-Dubé syndrom je způsoben změnami (mutacemi) v genu FLCN (alias BHD) a dědí se jako autozomálně dominantní vlastnost.

Birt-Hogg-Dubé syndrom je charakterizován mnohočetnými nerakovinnými (benigními) kožními nádory, zejména na obličeji, krku a horní části hrudníku. Tyto výrůstky se obvykle poprvé objevují ve dvaceti nebo třiceti letech a postupem času se zvětšují a množí. Postižení jedinci mají také zvýšenou šanci na rozvoj cyst v plicích a abnormální hromadění vzduchu v hrudní dutině (pneumotorax), což může vést ke kolapsu plic. Kromě toho je syndrom Birt-Hogg-Dubé spojen se zvýšeným rizikem vzniku rakovinných nebo nerakovinných nádorů ledvin. I jiné typy rakoviny byly hlášeny u postižených jedinců, ale není jasné, zda jsou tyto nádory skutečně rysem Birt-Hogg-Dubého syndromu.

Genetikk

Birt-Hogg-Dubé-syndrom har fått navn etter tre kanadiske leger som i 1977 beskrev en triade av benigne hudlesjoner (fibrofollikulomer, trikodiskomer og akrokordoner) hos 15 personer i samme familie (1) . Studier av familier med syndromet viste i 1993 sammenheng med nyrekreft og i 1999 med lungecyster (2, 3) . Først i 2002 ble genet FLCN (follikulin) påvist som årsak (4) .

Arvegangen er autosomalt dominant. Dette innebærer 50 % risiko for at barn av affisert mor eller far arver tilstanden. De aller fleste med sykdomsgivende genfeil utvikler symptomer.

FLCN koder for follikulinproteinet, som i kompleks med andre proteiner hemmer 5'AMP-aktivert proteinkinase (AMPK), som er en energisensor i cellen. Sykdomsgivende feil i FLCN gir tap av follikulin og dermed konstitusjonell aktivering (dvs. målproteinet er slått på hele tiden) av AMPK, med oppregulering av signalveier i cellene som også ofte er involvert ved kreft. Blant disse er AKT-mTOR-signalveien, som er viktig for regulering av cellesyklus, og HIF-1-signalveien (hypoxia-inducible factor-1), som er involvert i cellenes respons på lavt oksygennivå.

Sykdomsmekanismen er ikke helt klarlagt, men analyser av nyretumorer indikerer at FLCN er et tumorsuppressorgen (5) . Kunnskap om sykdomsmekanismen er viktig med tanke på fremtidige behandlingsmuligheter, for eksempel i form av mTOR-hemmere.

Ontstaan

Het Birt-Hogg-Dubé syndroom ontstaat door een foutje in het erfelijk materiaal (BHD-/FLCN-gen) dat voor de aanmaak van het eiwit folliculine zorgt. Wat folliculine precies doet en hoe het de symptomen van Birt-Hogg-Dubé veroorzaakt is nog niet geheel duidelijk. Het syndroom erft autosomaal dominant over.

80% van de patiënten met deze ziekte krijgt goedaardige bultjes (fibrofolliculomen). Ze ontstaan vanaf de leeftijd van 20-30 jaar. Deze bultjes zijn 2-4 mm groot en huidskleurig. Ze komen meestal in het gelaat, maar ook vaak op de oren, de borst en in de nek en ontstaan vanuit de haarfollikels.

84% van de patiënten krijgt cysten in de longen, wat bij ongeveer 1/3e leidt tot een klaplong. Ongeveer 16-30% van de patiënten met Birt-Hogg-Dubé krijgt niercelkanker. Geen enkele patiënt met Birt-Hogg-Dubé is hetzelfde. De één krijgt 1 symptoom en de andere meerdere.

Quellen

  • Buselmaier, W. et al.: Humangenetik für Biologen. Springer Verlag, Berlin Heidelberg 2005
  • Murken, J., Grimm, T., Holinski-Feder, E., Zerres, K. (Hrsg.): Taschenlehrbuch Humangenetik. Thieme, Stuttgart 2011
  • Witkowski R., Prokop O., Ullrich E.: Lexikon der Syndrome und Fehlbildungen. Springer, Berlin 2003

Über uns

MedLexi.de publiziert nicht nur über Gesundheit, Medizin und Wellness, sondern begeistert sich auch für die aktuelle medizinische Forschung und Medizintechnologie. Ärztliches Expertenwissen für unsere Themengebiete hilft uns, verständliches Wissen für Ihre Gesundheit aufzubereiten.

MedLexi.de bietet keine medizinische Beratung, Diagnose, Behandlung oder Empfehlung an. Alle Inhalte sind nur zur Information gedacht. Konsultieren Sie immer einen Arzt! Die Nutzung von MedLexi.de darf nicht für eigene Diagnosen oder Behandlungsmethoden und dessen Auswahl, Anwendung oder Abbruch verwendet werden. Siehe Nutzungsbedingungen für weitere Informationen.

Forekomst

Estimert punktprevalens av Birt-Hogg-Dubé-syndrom er ca. 1: 200 000 i Europa (6) . Dette skulle tilsi at 25–30 personer i Norge har tilstanden, men det er mer enn 100 personer som har fått diagnosen her i landet. Det er uvisst om den høyere prevalensen i Norge skyldes høyere forekomst eller bedre diagnostikk.

Diagnostiske kriterier som ble foreslått av Menko og medarbeidere i 2009 (7) , er anbefalt av BHD Foundation, som er en organisasjon av klinikere, forskere og pasienter. For å stille diagnosen Birt-Hogg-Dubé-syndrom må ett majorkriterium eller to minorkriterier oppfylles (ramme 1).

Ramme 1 Diagnostiske kriterier for Birt-Hogg-Dubé-syndrom (7). For å oppfylle diagnosekravet må pasienten ha ett majorkriterium eller to minorkriterier.

Majorkriterier

  • Påvist sikker sykdomsgivende genfeil i FLCN-genet
  • Minst 5 fibrofollikulomer, hvorav 1 histologisk verifisert, hos voksne

Minorkriterier

  • Multiple, basale og bilaterale lungecyster uten annen klar årsak, med eller uten spontan primær pneumothorax
  • Nyrekreft: Tidlig debut ( < 50 år) eller multifokal eller bilateral eller hybrid kromofob/onkocytær kreft
  • Førstegradsslektning med Birt-Hogg-Dubé-syndrom

Noen pasienter har bare én organmanifestasjon, men alle kombinasjoner av organmanifestasjoner er mulig. For de som oppfyller diagnosekriteriene, bør gentest rekvireres. Positiv familieanamnese for pneumothorax, hudlesjoner og nyretumor støtter mistanken. Når diagnosen er bekreftet, bør førstegradsslektninger > 16 år henvises til genetisk veiledning. Feil i FLCN identifiseres hos nesten alle med sterk klinisk mistanke om Birt-Hogg-Dubé-syndrom, men enkelte genfeil kan være vanskelig å oppdage. Hudbiopsi er aktuelt ved sterk klinisk mistanke om Birt-Hogg-Dubé-syndrom og negativ gentest.

Alle pasienter skal vurderes på lunge-, urologi- og genetikkavdeling. Klinisk undersøkelse inkluderer inspeksjon av hud med vurdering av fibrofollikulomer, men det er ikke påkrevet å henvise pasienten til hudavdeling.

4) 빌트 호그 두베 증후군(BHD)의 KCD CODE(상병명)

극도의 희소성을 고려하면 BHD 증후군은 KCD CODE, ICD-10 코드가 없습니다. Alport 증후군이나 동맥 비틀림 증후군 및 기타 선천성 기형 질환을 포함하는 ICD 코드인 Q878 코드를 이용하는 것이 맞다는 연구결과가 있습니다. 더욱이 확인 검사, 즉 FLCN 유전자 검사는 일반적이지 않습니다. 산정 특례 희귀 난치 질환 V 코드로는 V900에 포함됩니다. 이러한 한계를 고려하여 BHD 증후군도 FLCN 유전자(C5808)에 대한 보험금 코드와 해당 ICD 코드에 따른 동반질환을 사용하여 정의한다고 합니다.

빌트 호그 두베 증후군은 피부, 폐 및 신장에 영향을 미치는 다양한 징후가 있는 복잡한 유전 질환입니다. BHD를 가진 환자 분은 삶의 질을 개선하고 잠재적인 합병증을 완화하기 위한 조기 진단과 사전 예방적 관리가 매우 중요합니다. 정기적인 의학적 후속 조치, 유전자 검사 및 영상 연구는 장기 건강을 모니터링하고 이상을 즉시 감지하는 데 중요한 역할을 합니다.

연구 및 의료 발전이 계속됨에 따라 이 질병은 위한 개선된 관리 전략과 지원을 기대할 수 있으며, 건강하고 만족스러운 삶을 누릴 수 있는 최고의 기회를 제공합니다. 인식을 높이고 이 희귀 증후군을 이해하기 위한 지속적인 노력을 통해 우리는 Birt-Hogg-Dube 증후군을 앓고 있는 사람들을 위해 더 나은 결과와 치료를 강화할 수 있는 길을 열 수 있습니다.

Voor 16:00 besteld: dezelfde dag verzonden
Gratis verzending vanaf € 75
Klantenservice met jaren ervaring
Gratis sample bij je bestelling!